
最近5年,75岁的长沙市民吴老(化名)常常尿频、尿急、夜里要起来好几次,偶尔还尿痛、尿中带血,但每次去小诊所开点消炎药,症状缓一缓就又觉得“没事了”。
直到2025年冬至前,老友聚会时听说吃药能治排尿问题,吴老便自行去药店买药,吃了一周的药,不仅没好转,反而开始尿鲜红色血尿,小便时如火烧般疼痛。忍了好几天实在熬不住,才在家人的陪伴下来到长沙市第四医院泌尿外科就诊。
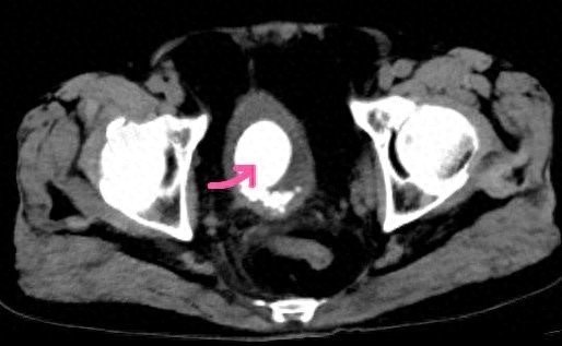
检查结果让大家都吃了一惊:吴老前列腺增生严重,体积超过正常人的4倍;膀胱里长满了结石,最大的直径达5厘米,足足有鸡蛋大小;同时合并泌尿道感染。
接诊的泌尿外科副主任医师钱晓辉解释,吴老长期患有前列腺增生,压迫尿道导致排尿不畅,膀胱不得不“加倍用力”收缩,时间一长,膀胱壁就变得粗糙不平,加上他平时喝水少、又爱吃豆制品,尿液中的结晶逐渐沉积,最终形成了这20多颗大小不一的结石。

为解决患者痛苦,泌尿外科主任郭涛主任医师团队为吴老进行了微创手术,先用钬激光将膀胱里的结石逐一击碎取出,再行前列腺剜除术解除尿道梗阻。术后,吴老的排尿痛苦明显缓解,血尿消失,恢复良好。
郭涛介绍,很多中老年男性认为“尿频、排尿困难是人老了的正常现象,不用治,也治不好”,这种说法是错误的。60岁以上男性前列腺增生的发生率约60%,虽不可逆,但可通过药物或手术有效控制。老年人膀胱结石往往与前列腺增生有关,排尿通畅时,膀胱里很难长出石头,但一旦因增生导致排尿不畅,就容易患膀胱结石。
他建议,50岁以上男性应定期做前列腺B超和前列腺特异性抗原检查,关注前列腺健康。如果出现排尿等待、尿线变细、尿后滴沥、反复血尿或尿路感染等症状,尤其是曾插过尿管、有过膀胱结石或慢性梗阻的患者,一定要及时到泌尿外科就诊,避免把小问题拖成大麻烦。
潇湘晨报记者梅玫 通讯员钱晓辉 袁彪
报料、维权通道:应用市场下载“晨视频”客户端,搜索“报料”一键直达;或拨打热线0731-85571188。如需内容合作,请拨打政企服务专席19176699651。
十大配资平台app下载提示:文章来自网络,不代表本站观点。